
NightLase®
Tratamiento de ronquidos y apneas
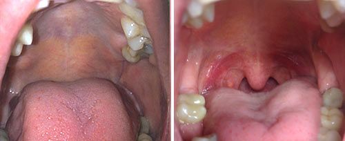
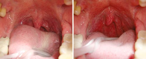
La terapia NightLase® de Fotona es un tratamiento láser no invasivo y amigable para el paciente que aumenta la calidad del sueño del paciente. NightLase® reduce los efectos de la apnea del sueño y disminuye la amplitud de los ronquidos por medio de un suave efecto de tensado inducido por el láser causando la contracción del colágeno en el tejido de la mucosa oral.
Simple, Seguro y Efectivo
La modalidad de láser Er:YAG patentada por Fotona optimiza la  longitud de los pulsos láser, permitiendo la penetración segura de calor en el  tejido de la mucosa oral. Es lo suficientemente suave para ser utilizado en el  tejido sensible dentro de la boca, pero lo suficientemente fuerte como para  proporcionar un calentamiento clínicamente eficaz.
  
NightLase® es fácil de usar para cualquier médico o dentista, posee una alta tasa de éxito en la producción de cambios positivos en los patrones de sueño. La investigación ha demostrado que NightLase® reduce y atenúa el ronquido y proporciona una forma eficaz, no invasiva para disminuir los efectos de la apnea del sueño.
Una Solución Amigable con el Paciente





